When it comes to dental treatment, nothing is more important than preventive care. A regular dental check-up and teeth cleaning prevents the development of serious dental problems that can require costly treatments. During a teeth cleaning, our licensed dental hygienist removes soft and hard deposits from your teeth and polishes the surfaces of your teeth.
It is recommended that you visit a dentist regularly once every six months. We send out a reminder for your next check-up appointment so you can maintain proper oral hygiene.
Before
After
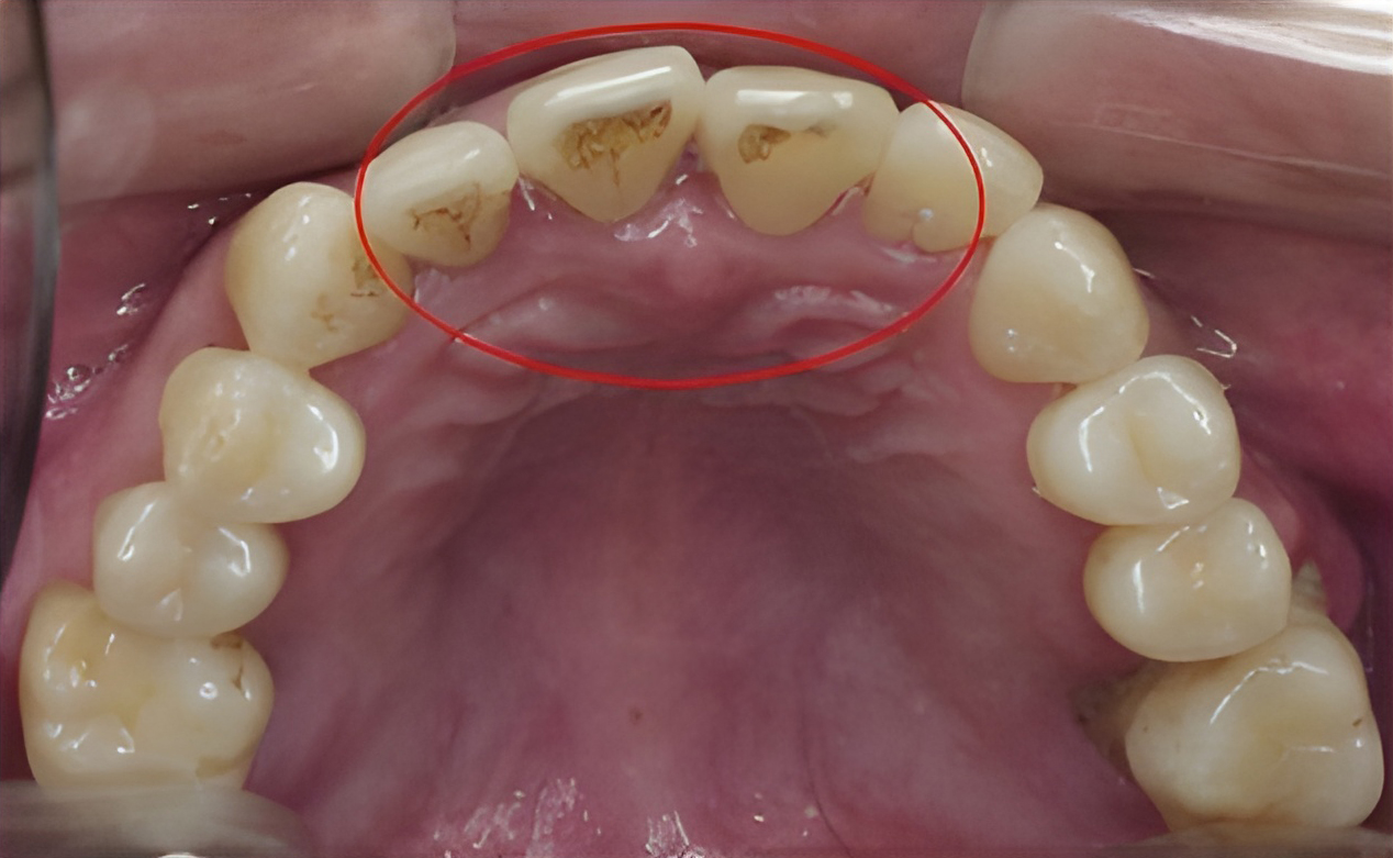
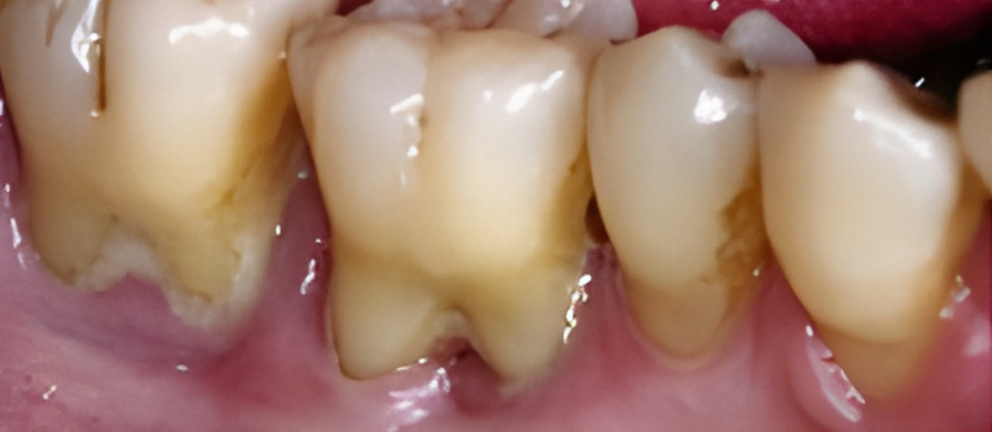
When a tooth decays and becomes damaged, several treatment options are available depending on the size and severity of the cavity. The most common cavity treatments are as follows:
For relatively small to mid-sized cavities, a composite resin filling is recommended. It is made of a plastic resin reinforced with powered glass, allowing for a color match to the surrounding teeth.
Only one visit is required for this treatment.
When the cavity is too big for a composite resin filling, an inlay is recommended. It is a fabricated, custom-fit restoration and can be made of porcelain or gold.
While a gold inlay takes two visit, a porcelain inlay takes only one visit, thanks to the use of a CEREC CAD/CAM milling machine.
When a tooth is severely damaged or decayed, an infection can form and spread to the nerve tissue and pulp. To repair and save the tooth, a root canal treatment is performed by our endodontist. During the root canal procedure, the infected nerve and pulp are removed and the inside of the tooth is cleaned and sealed.
Some symptoms that can indicate the need for a root canal are persistent pain while chewing or biting, sensitivity to hot or cold, swollen or tender gums, tooth discoloration, chipped or cracked teeth, and pimples on the gums.
A tooth that has had a root canal treatment is not as sturdy as before, due to the removal of a large portion of the pulp. Thus it is common that the root canal treatment is followed by restorative procedures to place a post, core and crown.
With over 20 years of experience, Dr. Hyo-Jin Lee prioritizes patient comfort and tries to make the procedure as pain-free as possible. Root canal treatment usually takes about one to three visits depending on the condition of the tooth.

with abscess

An opening is made in the crown of the tooth.

Infected pulp is removed. Root canals are cleaned out, enlarged, and shaped.

Root canals are filled with a permanent material.

A post is inserted to support the tooth. The opening is sealed with a filling.

The treated tooth is sealed with new crown.
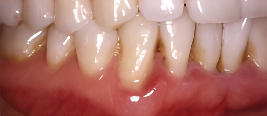
If you have signs of unhealthy gums such as redness, swelling, bleeding, tenderness, and bad breath, our doctor may recommend root planing and curettage. Root planing and curettage smooth the root surfaces beneath the gum line to remove plaque and calculus, and remove inflamed tissue so that healthy gum tissue may heal next to the cleaned and smooth tooth surface.
Because this procedure goes deeper than regular teeth cleaning, local anesthetic is needed to numb the gum.
Two office visits are usually required to complete the procedure.
The primary cause of periodontal disease is the accumulation of bacterial plaque at and under the gum line.
If plaque is not removed daily through brushing and flossing, the bacteria will cause the gum tissue to become red and swollen. At this first stage, gingivitis can and may be reversed by visiting your dentist and dental hygienist, along with your efforts at maintaining good dental hygiene.
If gingivitis is left untreated, the plaque can spread to the roots, causing an infection and damage to the supporting bone and soft tissue. The gums may separate from the tooth and start to recede. A pocket can form below the gum line and trap plaque and food. As periodontitis progresses, up to one-third of the bone can be lost.
In this later stage, half or more of the original bone holding the tooth is lost, and the pocket becomes very deep. The gums recede even more and the tooth may appear longer because the root is exposed. The tooth may eventually fall out due to a lack of supporting bone.
Simple extraction involves the removal of teeth that are visible in the mouth; whereas surgical extraction involves teeth that are not easily accessible inside the mouth, such as compacted wisdom teeth. At our office, both are performed with local anesthesia.
Since surgical extraction is more complicated, it generally causes more pain, soreness or swelling after the procedure. However, most post-symptoms go away in about three days. Our doctor prescribes medication for pain control.