During the crown procedure, a molded impression of the tooth is taken to fabricate the final crown. A fitted crown is created and temporarily placed while the final restoration is being made. It takes about two visits to complete this treatment.
Dental crowns come in various types.
A zirconia crown is a popular type of tooth-colored crown which is made from zirconia, a very strong ceramic material. It is durable and long-lasting as well as visually appealing.
A gold crown is most durable and fit tightly to the tooth. It is well-tolerated by the gums and other soft tissues in the mouth.
A porcelain crown is offered on a front tooth. In reality, this crown is a porcelain-coated zirconia crown which combines the strength of zirconia with the natural appearance of porcelain. It features a zirconia base that provides durability and a porcelain outer layer that mimics the translucency and shade of natural teeth.
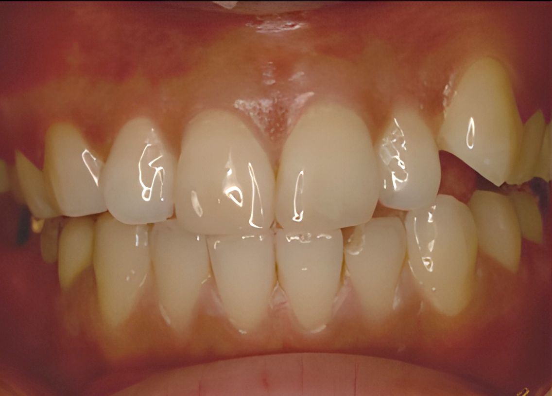
Before
after
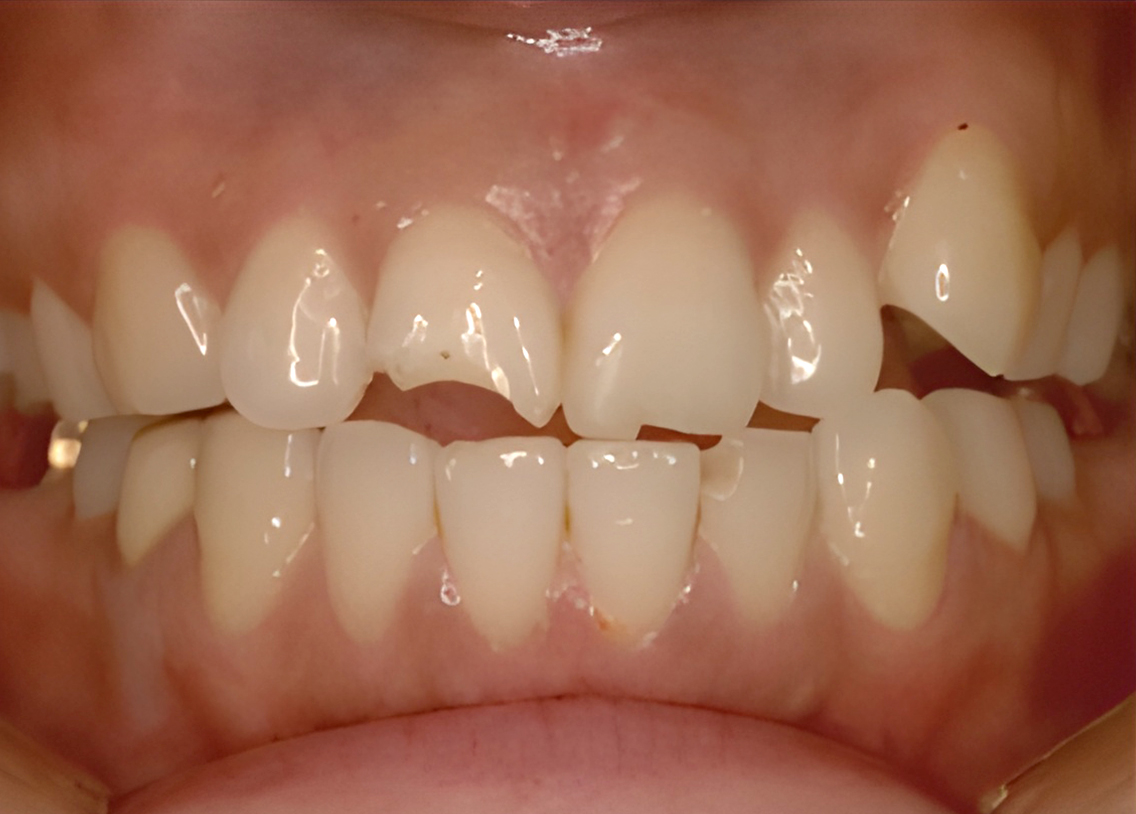
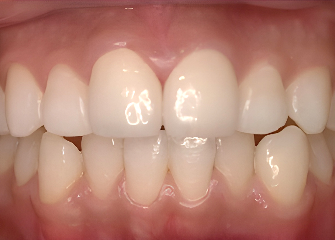
Before
after
When there is a gap created by one or more missing teeth, bridges are attached to the adjoining natural teeth to fill the gap. Bridges work best for those who have only a few missing teeth. With a fixed bridge, the artificial tooth (known as a pontic) is anchored to new crowns attached to the teeth on both sides of the gap.
It requires two to three visits to complete the treatment.
1. Missing one tooth
2. Reshaping adjacent tooth
3. Reshaping adjacent tooth
4. Bridge is cemented
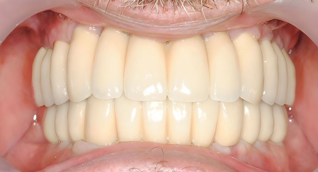
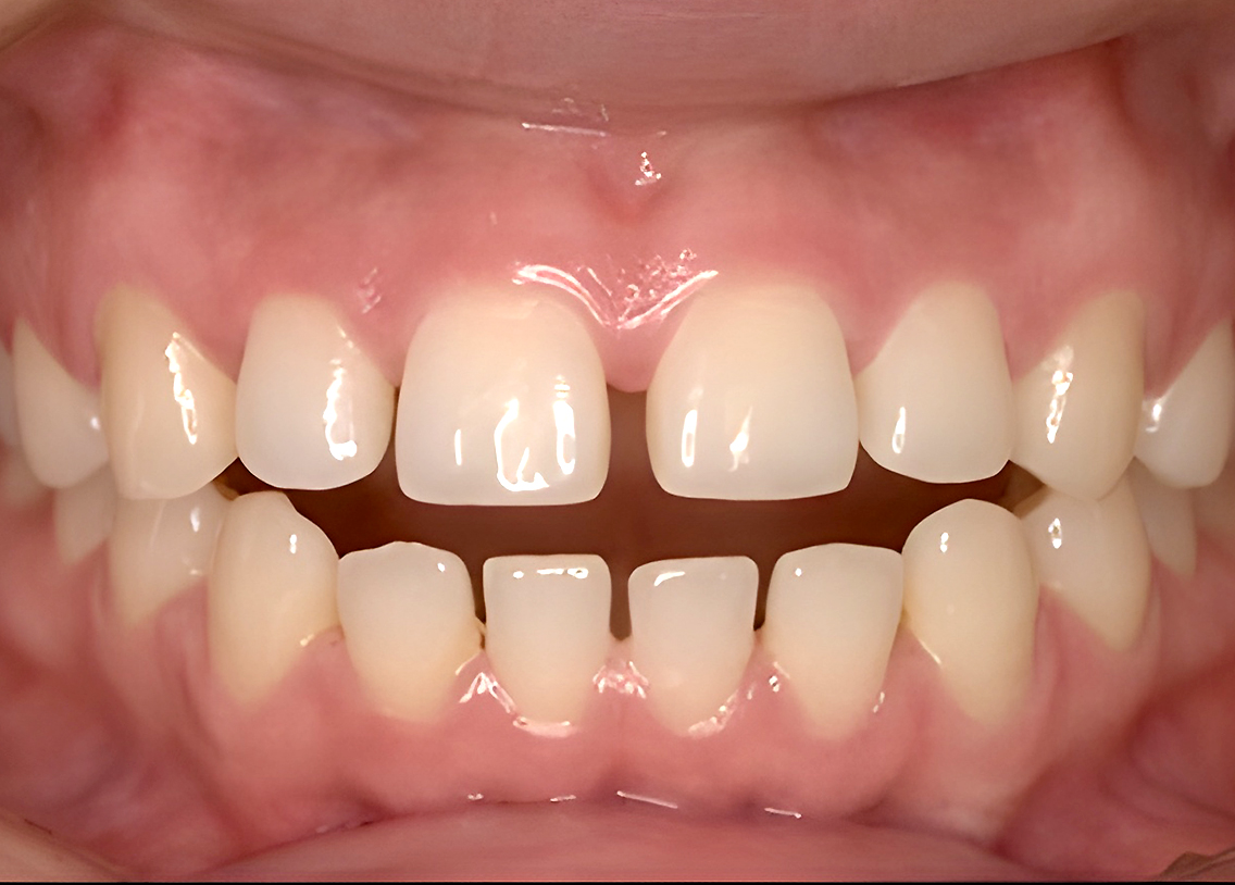
If you are suffering from a wide range of mouth or dental issues, or one specific issue that threatens to cause more issues to arise in the future, you may need to consider a full mouth rehabilitation.
The plan for full mouth rehabilitation may include a combination of treatments, such as implants, crowns, gum treatment, other restorative procedures, and in some cases orthodontic treatment.
Based on the assessment results from a comprehensive examination, our dental specialist will create a customized treatment plan to address your specific dental needs.
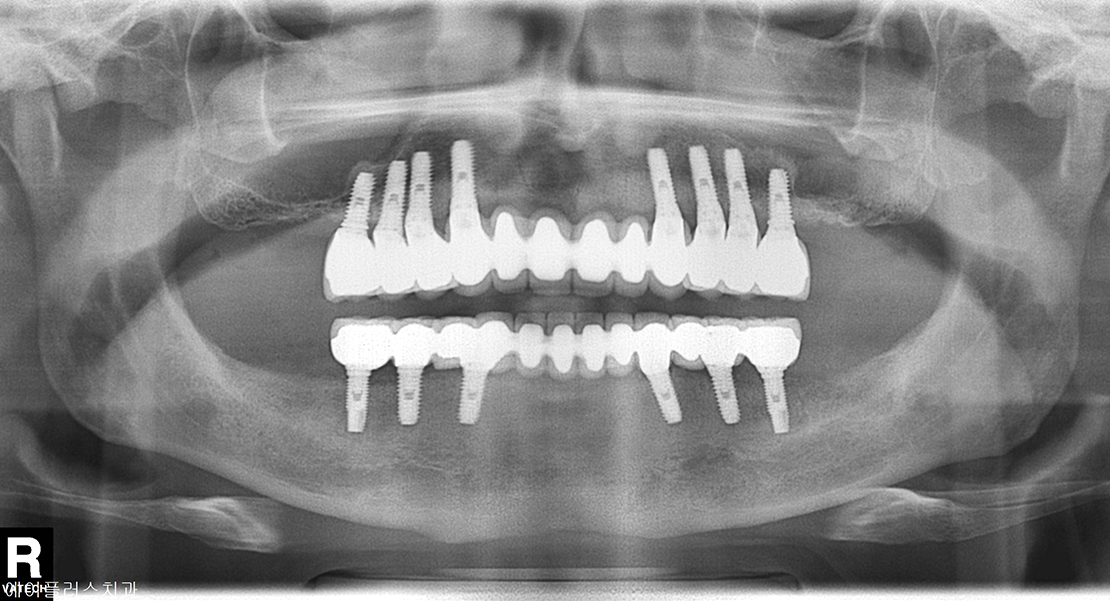
Before Treatment
Implant Placed
Restorations
Completed
Dentures are sets of artificial teeth set into a plastic framework that rests directly on the gums.
For those who have several missing teeth and whose teeth are not strong enough to support a bridge, a partial denture is used. In this type of denture, clasps fit onto the adjoining natural teeth and the framework fits directly on the gums.
If you have lost all of the upper or lower teeth, a full denture is used. The full denture replaces all the teeth in a jaw and fits directly on the gums and the supporting bone.
It requires multiple visits (at least four visits) to complete the treatment.
The Temporomandibular Joint (TMJ) connects the lower jaw to the skull in front of the ears. Problems in this area can cause pain in the head and neck, a jaw to be locked in position or difficult to open, as well as clicking or popping sounds when biting down.
Our doctor can provide a splint tailored to each patient’s specific needs. The splint helps to correct unhealthy jaw positioning, alleviating the TMJ symptoms.